施術実績について
当院では患者様の顔出しはしていません。その代わりに提供頂いた写真を掲載します。産後の骨盤矯正とは関係ありませんが、基本的にこのレベルの症状でお悩みの方が主に来院される院です。
そして、皆さん無事に卒業されます。是非、当院の判断基準となさってください。
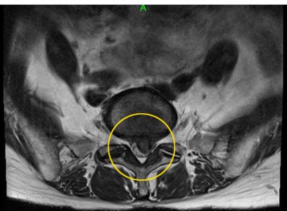
脊柱管の半分以上を覆う腰椎椎間板ヘルニア

脊髄中枢神経にめり込む椎間板ヘルニア

変形性膝関節症とO脚から起こった大腿骨骨頭壊死

同じく大腿骨骨頭壊死
吹田、摂津千里丘で腰痛や膝痛・股関節の俊カイロ【公式HP】
当院が主に矯正・調整する骨盤はこの様な病理的な状態で苦しむ方の骨盤です。
- 身体の歪み具合
- 関節の固定具合
- 施術の戻り具合
全てが産後の骨盤に比べると非常に難しい状況にありますので、出産を経た「自然の歪み」を生じているママの骨盤は我々にはとても動かしやすい関節です。というより既に動いています。産後の骨盤は基本的に1~2回で整います。それが普通なんだと是非、知ってください。
「骨盤矯正=仙腸関節矯正」とは本来「その日に整える」ものです。それは産後であっても同様です。ホルモンや視床下部、脳下垂体は骨盤矯正には関係ありません。
技術は大丈夫なの?
私の技術は3人の師匠から受け継いだものです。学校やセミナーで学ぶ「教科書の技術」ではありません。いずれの師匠も私が医療系の商社をしていた時代に「この人は格が違う」と感じた施術家です。
3人合計80年以上に渡って磨き続けられた「哲学」と「技術」を叩き込まれました。この業界は「人と人」の世界ですので、相性はあるかと思いますが、技術的な面でのご心配は不要です。
今どき珍しい職人気質の師匠から臨床を許されたという事。それは、そういう事だとご理解ください。

医学的な知識について

カイロは民間療法ですので「基礎医学」の欠如が心配な方もいるかと思います。師匠の教えには「民間療法は医者以上に学べ」というものがありまして、基礎医学の掘り下げだけは10年間妥協せずに取り組んできました。
上の写真は「イメージ」ではなく私が繰り返し学んでいる医学書の一部です。
- 医師用
- 柔道整復師用
- 鍼灸師用
- 理学療法士用
- 作業療法士用
- 看護師用
好奇心もあったので、私は各医療資格用の教科書を学びました。やはり情報量と学ぶ楽しさは医師用が圧倒的です。今も医師用の医学書を使って学んでいます。
ですので、医学系の国家資格はありませんが、知識と情報に関してはご安心下さい。なお、元々が大学院で研究職を目指していた時期もあり、学会データや論文などにも目は常に通しています。